CABINET DENTAIRE DU DOCTEUR JULIEN PALAU
L'esthétique du sourire - Dentisterie esthétique et prothèses dentaires Marseille 13006
ACCUEIL
LE CABINET
FACETTES DENTAIRES
ESTHETIQUE DENTAIRE
PROTHESES DENTAIRES
ORTHODONTIE INVISIBLE INVISALIGN
HORAIRES ET ACCES
28 boulevard Paul Peytral, 13006 MARSEILLE
+33 4 91 33 78 60
CABINET DENTAIRE DU DOCTEUR JULIEN PALAU
L'esthétique du sourire - Dentisterie esthétique et prothèses dentaires Marseille 13006
ACCUEIL
LE CABINET
FACETTES DENTAIRES
ESTHETIQUE DENTAIRE
PROTHESES DENTAIRES
ORTHODONTIE INVISIBLE INVISALIGN
HORAIRES ET ACCES
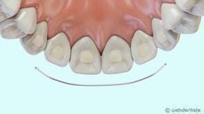
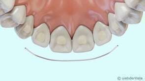
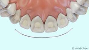
Fil de contention
Vidéos 3D
Partager
Twitter
Partager
Partager
Envoyer
Copier
Catégories
Informations pratiques
(8)
L'équipement du cabinet dentaire
(8)
L'orthodontie
(48)
Les choix esthétiques
(14)
Les dents chez l'adulte
(6)
Les dents de l’enfance à l’adolescence
(1)
Les dents et la santé
(26)
Les gencives
(33)
Les implants
(34)
Les pathologies bucco-dentaires
(35)
Les prothèses
(49)
Omnipratique
(231)
Prendre soin des dents
(27)
CABINET DENTAIRE DU DOCTEUR JULIEN PALAU
En savoir +
Politique de confidentialité et charte cookie
Mentions légales
Conditions Générales Utilisation
Charte déontologique
Ordre national
Annuaires chirurgiens dentistes
Coordonnées
Recherche
Horaires
Lundi
14h - 20h
Mardi
10h - 18h
Mercredi
Fermé
Jeudi
11h - 20h
Vendredi
10h - 19h
Samedi
Fermé
Dimanche
Fermé
Création par
Connexion
```html
Prendre rendez-vous
```